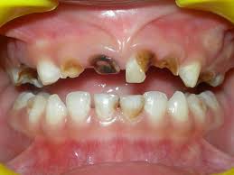
NURSING BOTTLE CARIES
Nursing bottle caries or baby cavities or Baby bottle caries is a type of tooth decay which is caused due to chlidern sleeping with bottle. It occurs due to baby cling bottle filled with natural sugar like milk fruit juice or sweetened liquids for long period of time , bacteria's in the mouth creates acidic environment and attack tooth surface leading to multiple tooth decay. First effects on upper teeth.
AT RISK
NOTE- Children who use pacifiers dipped in sugary content frequently specially while taking nap are at highest risk of baby bottle decay.
PRECAUTIONS
- Wipe baby's gums with gauze pad.
- Massage and clean gums in area without teeth.
- Begin brushing as soon as first teeth erupts with fluoride free tooth paste.
- Make sure to get enough supply of fluoride to your baby this reduces risk of cavity.
- Regular dental visit after baby's first birthday in every 6 months.
- Never give pacifiers dipped in sugary content.
- Never allow your child to fall asleep with bottle.
TREATMENT

- Early stage :- In early stage dentist perform fluoride treatment.
- Advance stage :-Removing of decayed portion of tooth and restoring it either by dental filling or by dental crown.
- Very advance stage :-Root canal treatment is performed if caries reached too deep and inflammation or infection is present.
- FOR MORE DETAILS REGARDING TREATMENT VISIT DENTIST IN ROHINI KAPIL DENTAL CLINIC AND IMPLANT CENTER.
for more details please contact kapil dental clinic and implant center.
Comments
Post a Comment